Service d'Ophtalmologie
Hôpital Universitaire Lariboisière
Notre service d’ophtalmologie est spécialisé dans le diagnostic et le traitement médical et chirurgical des maladies de la rétine.
Prendre un rendez-vous
de consultation
Les consultations sur rendez-vous sont accessibles pour les patients suivis dans le service et pour les patients adressés par leur ophtalmologiste munis d’un courrier.
NOTRE EXPERTISE
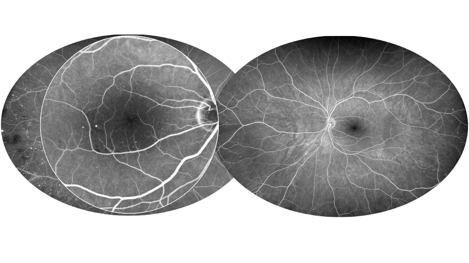
Les Maladies et la
Chirurgie de la Rétine
Chirurgie de la cataracte
Les Ophtalmologistes du service d’Ophtalmologie de l’Hôpital Lariboisière ont développé une expertise particulière dans l’examen, le diagnostic et le traitement CHIRURGICAL ou MÉDICAL de nombreuses maladies de la rétine, un domaine particulièrement spécialisé de l’ophtalmologie.
En même temps ils prennent en charge la chirurgie de la cataracte en ambulatoire , y compris des cataractes pathologiques , associées à la myopie forte, à la rétinopathie diabétique ou tout autre affection oculaire .
La chirurgie de la rétine consiste à pénétrer dans le globe oculaire en arrière du cristallin* , par 3 orifices minuscules pratiqués dans le blanc de l’œil. On pénètre ainsi dans le corps vitré* qui sera segmenté et aspirer pour traiter les affections de la rétine. On parle de chirurgie vitréo-rétinienne, ou en raccourci de « vitrectomie ». Les principales indications de la vitrectomie sont le traitement chirurgical du • décollement de rétine, de la • rétinopathie diabétique, des • membranes épirétiniennes, • des trous maculaires, et d’autres maladies plus rares.
Nous prenons en charge , la dégénérescence maculaire liée à l’âge, la rétinopathie diabétique, la choriorétinopathie séreuse centrale, les occlusions veineuses rétiniennes, la myopie forte, les maladies vasculaires rétiniennes rares , et d’autres maladies rétiniennes plus rares.
Le service dispose de tout l’équipement d’imagerie et de diagnostic moderne , des lasers, et d’une installation pour injections intravitréennes.
Certaines maladies rétiniennes peuvent être traitées par différents types de laser, ou par injections intravitréennes de médicaments.
Les examens d’imagerie et de diagnostic ont une place prépondérante dans le diagnostic, l’indication de traitement et le suivi des maladies rétiniennes.
Cela est valable pour les maladies à traitement chirurgical comme celles relevant d’un traitement médical ou par laser. Notre service est particulièrement bien équipé en tous les types d’apareillages les plus modernes , permettant la confrontation de différentes sources d’imagerie pour aboutir au diagnostic le plus précis.
Notre service a développé une expertise particulière dans le diagnostic et le traitement de maladies vasculaires rares de la rétine, au sein du Centre de Référence des maladies Vasculaires rares du cerveau et de l’œil (CERVCO). Ces maladies sont congénitales ou héréditaires, associées ou non à des atteintes neurologiques.
Notre Service opère plus de 1000 cataractes par an, de la cataracte simple liée au vieillissement aux cataractes sur des yeux présentant une autre pathologie comme la rétinopathie diabétique, la myopie forte ou déjà opérés pour une maladie de la rétine.
L’intervention de déroule sous anesthésie locale, et en ambulatoire.
L'ÉQUIPE MÉDICALE
Une offre de soins accessible à tous
Le service d’Ophtalmologie œuvre pour que l’offre de soins soit accessible à tous.
Créé en 1903 au sein de l’hôpital Lariboisière comme un exemple de modernité, il a su rester à la pointe de l’innovation en se spécialisant dans les maladies et la chirurgie de la rétine…
RECHERCHE
Clinique
Les patients bénéficient de l’activité de Recherche Clinique développée dans le service et peuvent librement participer aux essais thérapeutiques dans l’espoir de bénéficier du meilleur traitement possible .
L’hôpital
Lariboisière
Pour plus d’informations sur l’hôpital Lariboisière connectez vous à son site internet : https://hopital-lariboisiere.aphp.fr
Pour les
Ophtalmologistes
La macula bombée, (MB) initialement décrite dans les yeux fortement myopes atteints de staphylome postérieur peut survenir dans la myopie légère et même l’emmétropie. Depuis sa description initiale en 2008, les progrès des technologies d’imagerie…
Lire plus…La macula bombée, (MB) initialement décrite dans les yeux fortement myopes atteints de staphylome postérieur peut survenir dans la myopie légère et même l’emmétropie. Depuis sa description initiale en 2008, les progrès des technologies d’imagerie et les études longitudinales ont considérablement amélioré notre compréhension de la MB. Nous avons analysé la littérature récente. La MB touche environ 0,2 % de la population générale, avec une prévalence atteignant 10 à 20 % dans les yeux fortement myopes. Sa physiopathologie implique des mécanismes complexes allant des processus d’emmétropisation dans les yeux non myopes à la biomécanique sclérale différentielle et à la croissance asymétrique du segment postérieur dans la myopie forte. L’OCT polarisé a apporté de nouvelles informations sur l’architecture des fibres sclérales, correspondant aux axes de la MB. La MB protége potentiellement contre le rétinoschisis fovéal tout en prédisposant au décollement séreux de la rétine (DSR) et à l’atrophie de l’épithélium pigmentaire rétinien (RPE) lorsque la hauteur du dôme dépasse des seuils spécifiques. Le DSR, (8 à 50 % des cas), et l’atrophie de l’EPR sont les principales complications directement liées à la MB. Il existe de nombreuses approches thérapeutiques pour le DSR, avec des taux de réussite variables. Des études longitudinales ont décrit l’évolution de la MB au fil du temps et montré qu’une augmentation de la hauteur du dôme était corrélée à l’allongement axial. Nous fournissons des informations actualisées sur l’épidémiologie, la physiopathologie, la présentation clinique et la prise en charge de la MB afin d’améliorer le diagnostic et le traitement de cette affection de plus en plus reconnue
L’Institut international de la myopie (IMI) fournit chaque année des recommandations consensuelles, opportunes et fondées sur des preuves. Le résumé 2025 de l’IMI fournit des mises à jour ciblées dans plusieurs domaines : Définitions et…
Lire plus…L’Institut international de la myopie (IMI) fournit chaque année des recommandations consensuelles, opportunes et fondées sur des preuves. Le résumé 2025 de l’IMI fournit des mises à jour ciblées dans plusieurs domaines : Définitions et classification de la myopie, directives de prise en charge clinique, facteurs de risque, accommodation et vision binoculaire, modèles expérimentaux, apparition et progression chez les jeunes adultes.
L’un des principaux axes de réflexion porte sur le concept évolutif de pré-myopie, notamment une meilleure compréhension de la réserve hypermétropique en tant que marqueur prédictif et la distinction entre les facteurs de risque et les facteurs prédictifs.
De nouvelles données soutiennent l’identification précoce et les interventions ciblées pendant la phase pré-myopique afin de retarder l’apparition de la myopie.
Retarder l’apparition de la myopie ne serait-ce que d’un an peut avoir un impact plus important durant la vie que plusieurs années de contrôle de la progression.
D’autres mises à jour traitent, des nouvelles connaissances moléculaires issues de modèles expérimentaux et des preuves qu’un sous-groupe de jeunes adultes, en particulier ceux atteints de forte myopie, continuent de progresser à un rythme significatif.
Dans l’ensemble, le résumé de l’IMI 2025 souligne l’importance d’une prise en charge proactive et individualisée de la myopie, en fournissant aux cliniciens des recommandations actuelles et fondées sur des preuves, tout en soutenant la recherche et l’innovation continues.
Diagnostic et prédiction de la rétinopathie diabétique par Intelligence artificielle
Sa mission est d’assurer le suivi médical et chirurgical expert des patients, former les professionnels de la filière visuelle et mener des programmes de recherche (dont des cohortes de myopes forts adultes et enfants)
Nos partenaires
Affiliations
Notre groupe hospitalier est composé des hôpitaux Saint-Louis, Lariboisière, Fernand-Widal, tous situés dans le 10ème arrondissement de Paris, vous proposant une offre de soins large et complémentaire et dans un cadre d’ excellence hospitalo-universitaire.
L’hôpital Universitaire Lariboisière est rattaché à l’Université Paris Cité qui fédère huit Facultés, Instituts et grandes écoles ainsi que cinq organismes de recherche de renommée mondiale. Elle classée parmi mes 40 meilleures Université mondiale par le CWUR, et figure dans les 100 meilleures Universités du « classement de Shangaï ».



