Les
Images du mois

Images et vidéos médicales et scientifiques des Médecins du Service d'Ophtalmologie de l'Hôpital Lariboisière

L'image du mois

Avr 2026

L'image du mois

Mar 2026

L'image du mois

Jan 2026

L'image du mois

Déc 2025

Autres traitements, L'image du mois

Nov 2025

L'image du mois

Oct 2025

L'image du mois

Juin 2025

L'image du mois

Avr 2025

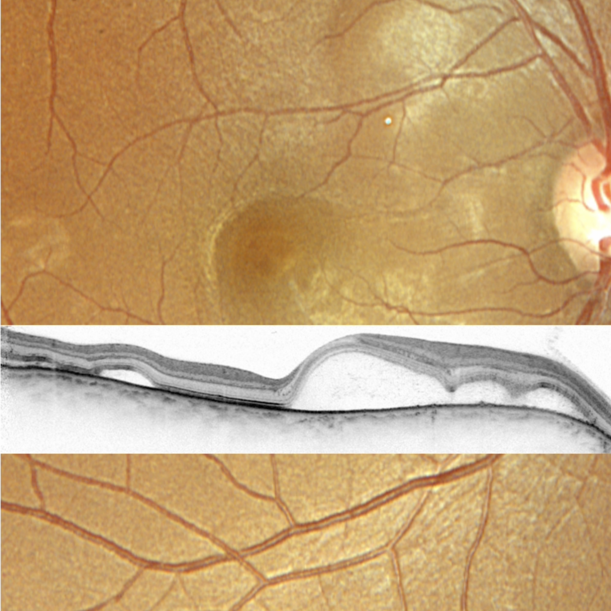
Rétinoschisis bulleux temporal supérieur de l’œil droit

L'image du mois

Oct 2024

Rétinopathie diabétique proliférante en cours de photocoagulation panrétinienne.

L'image du mois

Sep 2024

Baisse d’acuité visuelle soudaine de l’œil droit, à 0.05, chez une femme de 38 ans, sans facteur déclenchant retrouvé.

En cas d'Urgence Ophtalmologique

Une consultation sans rendez-vous est ouverte du
lundi au vendredi de 8h30 à 17 h

En dehors de ces horaires et pour les autres urgences ophtalmologiques (œil rouge, œil douloureux, traumatisme oculaire) dirigez vous vers

29 rue Manin
75019 Paris

27 rue du Fbg Saint Jacques
75014 Paris

Vous êtes un nouveau patient
et souhaitez prendre un RDV de consultation.

Les consultations spécialisées en pathologie et chirurgie de la rétine et en chirurgie de la cataracte sont accessibles avec un courrier d’un ophtalmologiste, d’un médecin généraliste ou spécialiste (SAUF URGENCE).

Consultez la liste des ophtalmologistes consultant dans le service et les jours de consultation

PRENDRE RENDEZ VOUS :