RH

https://www.ophtalmologie-lariboisiere.fr/wp-content/uploads/2026/04/RH-4_VOSTF.mp4
Nodules Cotonneux

https://www.ophtalmologie-lariboisiere.fr/wp-content/uploads/2026/03/Mars-2026.mp4 Baisse d’acuité visuelle soudaine chez un patient de 59 ans hospitalisé d’urgence depuis la veille pour une pancréatite aigüe. Les photos couleur des fonds d’yeux montrent de nombreux nodules cotonneux en couronne péripapillaire,symétriques aux deux yeux et connus sous le terme de « Purtscher-like ». L’angiographie à la fluorescéine semble montrer une véritable occlusion artériolaire et […]
Néovascularisation périphérique dans un cas de drépanocytose SC

https://www.ophtalmologie-lariboisiere.fr/wp-content/uploads/2026/01/26-2.-image-du-mois-Fev-Drepanocytosedpptx.mp4 Néovascularisation périphérique dans un cas de drépanocytose SC. Tache pigmentée (black sunburst), néovaisseaux prérétiniens. L’ angiographie, montre des bouquets de néovaisseaux prérétiniens périphériques plus nombreux, et des anastomoses en arrière des territoires de non-perfusion capillaire étendus. L’OCT angiographie montre les occlusions dans le réseau capillaire périfovéolaire et la diminution de la densité capillaire. Enfin […]
Waldenström

https://www.ophtalmologie-lariboisiere.fr/wp-content/uploads/2026/01/26-1.-image-du-mois-.mp4 Patient de 74 ans présentant une baisse d’AV de l’OD,traité pour une maladie de Waldenström. Les photos couleurs des deux yeux montrent des hémorragies ponctuées ou en taches en périphérie temporale. On note également un aspect en étoile dans la maculade l’œil droit, l’OCT confirmant qu’il s’agit d’une maculopathie cystoïde avec petit décollement fovéolaire. […]
Maladie de Harada

https://www.ophtalmologie-lariboisiere.fr/wp-content/uploads/2025/12/25-12-image-du-mois-1-3.mp4 Œil droit d’un patient avec décollement séreux bilatéral du pôle postérieur. L’angiographie au vert d’Indocyanine montre un remplissage irrégulier de la choriocapillaire avec persistance d’une hypoperfusion dans les zones de décollement rétinien exsudatif, et une coloration partielle et tardive des décollements. L’OCT montre le bombement irrégulier de la choroïde infiltrée par l’inflammation et le […]
Œdème microkystique

https://www.ophtalmologie-lariboisiere.fr/wp-content/uploads/2025/11/OEdeme-microkystique.mp4 Œdème microkystique s’étendant de la papille à la macula, dû à une fossette colobomateuse faisant communiquer la gaine méningée du nerf optique et la rétine externe. Il n’y a pas encore à ce stade de décollement séreux rétinien. Le vitré n’est pas décollé de la papille. Images du Dr Ali Erginay lien Linkedin….
Fibrose

Fibrose résiduelle après photocoagulation pan-rétinienne d’une rétinopathie diabétique proliférante, chez un diabétique de type 1, en imagerie ultra-grand champ. La photo couleur montre la fibrose le long des arcades vasculaires temporales et devant la papille. L’OCT angiographie montre l’étendue de la non-perfusion capillaire périphérique, la relative épargne du pôle postérieur, la persistance de néovaisseaux prérétiniens […]
Contusion oculaire par volant de Badminton entrainant une rupture rétino-choroïdienne (Sclopetaria)

En périphérie nasale, hémorragies rétinennes multiples, dont une hémorragie transrétinienne linéaire due à une rupture rétino-choroïdienne, et des plages blanches de nécrose rétinienne . La macula et le nerf optique sont indemne. Dans ce cas le pronostic visuel est bon. Le risque de décollement de rétine existe mais plutôt faible estimé à 10% en général.
Retinopathie Diabétique
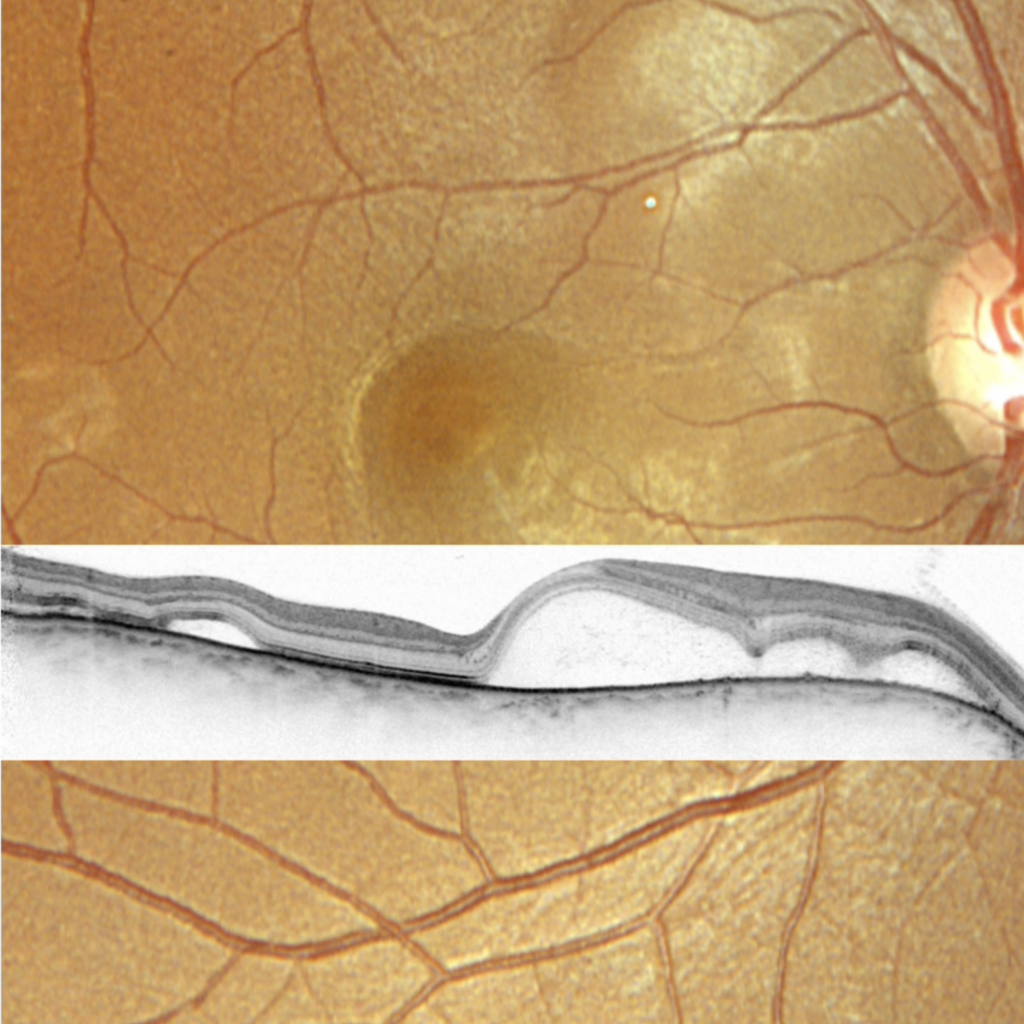
Myopie forte

OCT d’un staphylome postérieur, complication typique de la myopie forte.



